
ĐIỀU TRỊ DỨT ĐIỂM VIÊM NANG LÔNG
CÔNG NGHỆ ĐỘC QUYỀN
FUSION THERAPY
QUY TRÌNH CHUẨN Y KHOA – HIỆU QUẢ VƯỢT MONG ĐỢI
Giá gốc: 2.500.000 VNĐ
Nay chỉ: 499.000 VNĐ
TẶNG THÊM 3 BUỔI TRỊ THÂM/TRIỆT LÔNG
Ưu đãi kết thúc sau[ycd_countdown id=20153]

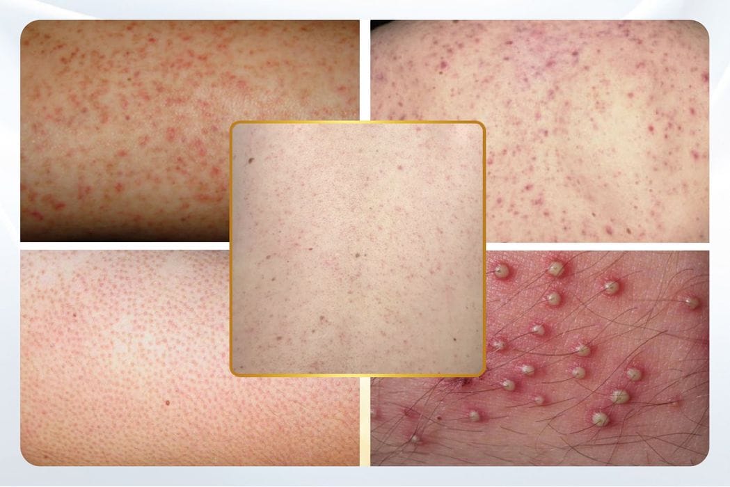
Viêm Nang Lông là tình trạng các nang lông bị viêm do nhiễm nấm, nhiễm khuẩn, phổ biến là Taphylococcus Aureus và tụ cầu khuẩn. Bệnh có thể xuất hiện ở nhiều vùng da của cơ thể như da đầu, da chân, lưng, cánh tay, mông, nách, mặt.

HỖ TRỢ ĐIỀU TRỊ DỨT ĐIỂM KHÔNG TÁI PHÁT

Thời tiết quá nóng hoặc quá lạnh. Thời tiết quá nóng làm lỗ chân lông tiết nhiều mồ hôi làm bít tắt lỗ chân lông gây viêm. Hoặc thời tiết quá lạnh khiến hệ bài tiết da không hoạt động bình thường

Viêm nang lông có thể do vi khuẩn tụ cầu vàng, trực khuẩn mủ xanh hoặc do nấm men gây nên

Sử dụng các loại mỹ phẩm gây bít tắt lỗ chân lông như sản phẩm chứa dầu khoáng hoặc sử dụng các sản phẩm gây kích ứng nang lông.

Tiếp xúc chất dịch hoặc sử dụng các mền, gối chung với người bị bệnh nhưng không vệ sinh cũng có thể khiến bạn bị lây nhiễm virus gây viêm nang lông

Cạo, nhỗ, wax cạo thường xuyên khiến cho nang lông trên da bị tổn thương, nhiễm trùng do vi khuẩn xâm nhập.

Mặc quần áo chật hoặc cọ xát nhiều, uống thuốc kháng sinh thời gian dài.
SỰ KẾT HỢP ĐỘC QUYỀN 3 CÔNG NGHỆ HIỆN ĐẠI BẬC NHẤT TRONG LIỆU TRÌNH ĐIỀU TRỊ TẠI HT BEAUTY.

Công nghệ sử dụng bước sóng 10.600nm, loại bỏ lớp da bề mặt ngay tức thì.

Đồng thời làm nóng lớp trung bì để kích thích quá trình tăng sinh collagen và hình thành lớp da mới, giúp giảm thâm và tái tạo da mới hoàn chỉnh.

Liệu pháp ánh sáng (Green laser) 525nm: Với ánh sáng xanh lục tác động trực tiếp lên các nốt viêm, khiến cho nhân viêm trồi lên khỏi bề mặt da, hỗ trợ hiệu quả trong việc điều trị viêm nang lông. Giúp da không nhiễm khuẩn, làm khô bề mặt, điều tiết tuyến bã nhờn dầu, hạn chế sự hình thành nốt viêm mới.



Cảm giác ngứa ngáy, sần sùi sẽ không còn nữa thay vào đó là cảm giác thoải mái khi các lỗ chân lông được giải thoát,bằng nhíp sinh học độc quyền tại HT Beauty.

Công nghệ ánh sáng xanh Green laser với bước sóng năng lượng cao giúp triệt tiêu vi khuẩn, làm khô cồi mụn và ngăn ngừa lây lan vi khuẩn tụ cầu.

Với Nano Plus là công nghệ được sử dụng đầu kim siêu mỏng đi sâu vào từng lỗ chân lông giúp loại bỏ các ổ vi khuẩn, bã nhờn, bụi bẩn độc tố dưới da, trao đổi chất, tái tạo tế bào da mới sáng mịn. Giúp ngăn ngừa tận gốc tình trạng tái phát của viêm nang lông

Áp dụng công nghệ Fractional CO2 tại Phòng khám da liễu HT Beauty, với chức năng điều trị sâu tới tầng thượng bì. Nhờ cơ chế tạo các tia nhiệt với tay cầm vi phân, tạo nên các tổn thương vi điểm lành tính giúp trẻ hoá làm sáng da se khít lỗ chân lông, tăng sinh collagen. Cải thiện độ đàn hồi giảm các sắc tố trên bề mặt da giúp mịn màng, làm đều màu da và giảm thâm viêm.
Bạn sẽ được sự chăm sóc, hỏi thăm tận tình từ Bác sĩ điều trị trực triếp và đội ngũ chăm sóc sẽ liên tục kiểm tra tình trạng da của bạn để có phương án tốt nhất để mang lại cải thiện tối đa

Cảm giác ngứa ngáy, sần sùi sẽ không còn nữa thay vào đó là cảm giác thoải mái khi các lỗ chân lông được giải thoát.

Tình trạng viêm đã được ức chế đáng kể, không còn lên những nốt viêm mới, các nốt viêm cũ đã khô dần và biến mất.

Da mịn màng, giảm thâm sần rõ rệt, trả lại cho bạn 1 làn da như mong đợi.









*** Bao gồm Thuốc Điều Trị Độc Quyền khi mua trọn gói dịch vụ.
*** Tặng ngay 3 buổi trị thâm/triệt lông khi mua gói dịch vụ
*** Ưu đãi giá trải nghiệm chỉ với 499.000đ

Anh Minh Tài (28 tuổi)
Dịch vụ điều trị viêm nang lông ở HTBeauty thực sự hiệu quả và an toàn. Nhân viên chuyên nghiệp, tận tâm và am hiểu. Tôi đã thấy sự cải thiện rõ rệt sau quá trình điều trị và làn da trở nên mịn màng hơn. Tôi hoàn toàn hài lòng và sẽ khuyên dùng dịch vụ này.

Chị Thủy (38 tuổi)
Tôi rất hài lòng với dịch vụ điều trị viêm nang lông ở HTBeauty. Nhân viên nhiệt tình và tận dụng công nghệ tiên tiến để giúp giảm viêm nang lông, mỹ phầm đi kem chất lượng. Quá trình điều trị rất nhanh và kết quả rất tốt.

Chị Yến (30 tuổi)
HTBeauty là nơi tuyệt vời để điều trị viêm nang lông. Nhân viên rất an cần tư vấn và chăm sóc . Dịch vụ tận tâm, đảm bảo tôi cảm thấy thoải mái và tự tin về làn da của mình. Viêm nang lông của tôi đã giảm đáng kể. Tôi rất hài lòng với dịch vụ này.

Chị Hòa (27 tuổi)
HT Beauty là một uy tín để điều trị viêm nang lông. Sự chuyên nghiệp và tận tâm của nhân viên khiến mình rất hài lòng. Bác sĩ tay kinhnghiệm và sử dụng các phương pháp điều trị tiên tiến để đảm bảo hiệu quả cao nhất. Tôi rất hài lòng với dịch vụ này và sẽ giới thiệu cho bạn bè.







6


Tiết Kiệm 80% Khi đăng ký ngay
Chương trình sẽ kết thúc sau
2.500.000đ499.000đ

4.7/5
369 nhận xét.

15/09/2023 17:00 – Quận Bình Tân, TPHCM
Đã chứng nhận điều trị
HT Beauty là nơi tuyệt vời để điều trị viêm nang lông. Các bạn kĩ thuật viên và bácsĩ phải nói là nhiệt tình khiến mình cực kì được an ủi cũng như đồng cảm. Rồi sau khi hoàn tất liệu trình mình thật sự bất ngờ với làn da giảm tận 80% luôn ạ.

15/09/2023 16:14 – Quận Gò Vấp, TPHCM
Đã chứng nhận điều trị
Nổi ám ảnh khi mặc áo hở lưng của mình. Trước đây do viêm năng lông lưng nên mình cực kì ngại việc mặc áo hở lưng, nhiều lần bị chê rồi mình quyết định đánh cược thử điều trị ở HT Beauty dù thất bại nhiều ở những cơ sở khác. Và kết quả cực kì ưng và mê luôn mấy chị em à. Cám ơn HT Beauty đã mang lại sự tự tin cho mình.

21-06-2023 06:27 – Quận 10, TPHCM
Đã chứng nhận điều trị
Trước đây mình cứ bị chồng ngại không dám ôm vì lưng bị viêm nang lông nặng. Nhiều khi cũng tuổi thân lắm, cũng được chị họ chỉ đến HTBeauty. Làm liều điều trị thử rồi kết quả hết luôn, về chồng cứ khen da trắng với láng mịn hơn.

16-03-2023 07:53 – Quận Gò Vấp, TPHCM
Đã chứng nhận điều trị
Có ai như mình không tốn hàng chục triệu điều trị mãi mà không hết. Rồi lâng là trên mạng xem review thì vô tình có 1 bà chị nói thử đến HTBeauty đi. Mình cũng thử kết quả chưa hết hoàn toàn nhưng cũng đỡ tận hơn 70% như hình dưới đó. Khuyên thật các chị đang còn băng khoan thì điều trị ngay chứ để thâm nhiều điều trị thâm thì mất thời gian nữa đó ạ.

16-03-2023 – Quận 11, TPHCM
Đã chứng nhận điều trị
Trời ơi, ai còn lấn cấn chưa dám điều trị ở HTBeauty thì đi liền nha mấy chị. Hiệu quả cực, mình mới làm vài liệu trình đã cảm thấy da cải thiện đang kể luôn ấy.

26-02-2023 – Quận 1, TPHCM
Đã chứng nhận điều trị
Mình là nam hay tập gym nên thường không mặc áo, chính vì lí do này khiến mình bị viên nang lông ở bắp tay và lưng cực kì làm mình rất khó chịu khi đổ mồ hôi. Rồi mình được bạn gái dẫn đến điều trị ở HTBeauty thì bớt hẵn luôn <3

08-11-2022 – Quận 7, TPHCM
Đã chứng nhận điều trị
Ám ảnh viêm nang lông lưng tái đi, tái lại dù tốn bao nhiêu tiền và thời gian. Nhưng sau khi điều trị ở HTBeauty thì tình trạng tái phát giảm hẵn rồi bây giờ chỉ còn 1 ít viêm lâu lắm mới bị và da láng mịn lắm luôn mấy chị<3
Ai đó đang nhập bình luận
*Lưu ý: hiệu quả của việc hỗ trợ điều trị còn tùy thuộc vào cơ địa của mỗi người.
15/09/2023 17:22 – Quận 5, TPHCM
Đã chứng nhận điều trị
Minh Anh
Dịch vụ điều trị viêm nang lông ở HT Beauty thật sự xuất sắc. Nhân viên chuyên nghiệp, tận tâm và am hiểu sâu về viêm nang lông. Quá trình điều trị diễn ra đúng lộ trình, chính xác và mang lại kết quả ngoài kỳ vọng. Mình rất chi là ưng.