NGUYÊN NHÂN HÌNH THÀNH SẸO RỖ

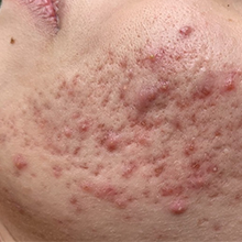
Sẹo rỗ do mụn
Nặn mụn không đúng cách, gây tổn thương khiến mụn viêm nặng làm liên kết dưới da bị đứt gãy sẽ để lại những vết sẹo rỗ sâu chi chít trên bề mặt.

Sẹo do thủy đậu
Đây là ảnh hưởng để lại khi bị thủy đậu, Sẹo do bệnh thủy đậu kích thước khoảng (3- 8mm), nông, mọc rải rác và không tập trung nhiều.

Sẹo do từ nguyên nhân khác
Sẹo lõm hình thành sau quá trình bị tai nạn, vùng da bị tổn thương không được chăm sóc bảo vệ và phục hồi tốt.



























